Images et vidéos au service de l'enseignement des sciences de la nature -  Un site imaginé et créé par Hervé CONGE

Un site destiné aux enseignants et aux élèves, pour observer, s’interroger, comprendre le fonctionnement de la nature et des êtres vivants, et tout simplement devenir curieux !

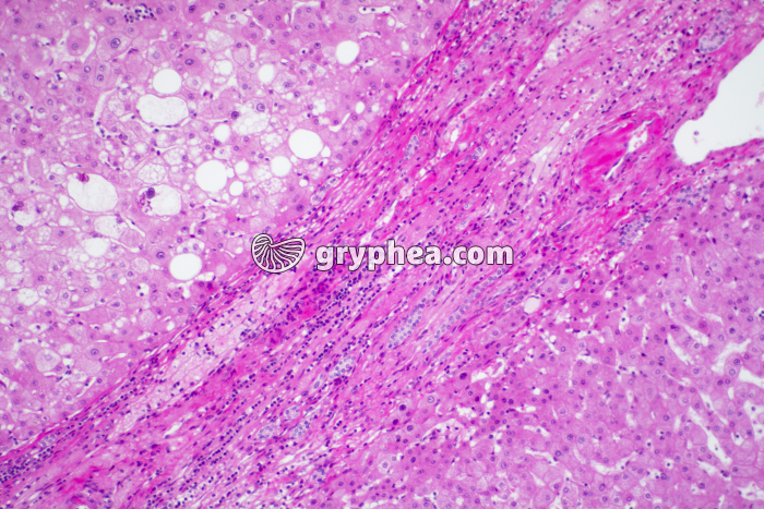
Foie pathologique x40

Foie pathologique x40 - gryphea.org

Les photographies, infographies, vidéos, sons et textes publiés sur ce site ne sont pas totalement libres de droits. Vous pouvez les utiliser librement à titre personnel, dans la création de vos cours, compte-rendus, diaporamas, en respectant le watermark qui y est inclus, à la condition expresse d'avoir souscrit à un abonnement. Le contrat d’utilisation ne vous autorise cependant pas à diffuser ces documents ailleurs que dans le cadre strict de votre enseignement, et en aucun cas sur les réseaux sociaux. Merci de votre compréhension.

Type : Photographie
Référence : BN 52851
Auteur : Hervé Conge

Pour accéder à tous les contenus de gryphea.org, aux photos haute définition et aux vidéos intégrales, profitez de nos offres d'abonnement :

Légende :

 

Dans un foie pathologique, comme celui qui est présenté, les cellules présentent une déformation, parfois une hypertrophie, ainsi que des vésicules adipeuses qui apparaissant en blanc à l'intérieur du cytoplasme cellulaire. Une stéatose correspond à une accumulation de graisses dans les cellules du foie (comme pour les foies gras). Elle est souvent liée à une surcharge pondérale et peut évoluer vers une cirrhose, pathologie du foie nettement plus dangereuse. Cette dernière se manifeste par l'apparition d'une fibrose, accumulation de fibres autour des cellules hépatiques, qui finissent par isoler les cellules en amas, les empêchant d'être suffisamment irriguées par le sang et de fonctionner normalement.

A terme, les conséquences d'une cirrhose peuvent être très graves : perturbation de la circulation sanguine hépatique et gastro-oesophagienne, insuffisance hépatique, jaunisse,[...]

La suite du commentaire est réservée aux abonnés

Mots clés :
glycogène dans le foiedigestionfoiehépatiquelobulecanaux biliairesbileglycogèneglucoseglycogénogenèseglycogénolysecholestéroldétoxificationsangammoniaqueuréeglycémierégulationendocrineexocrinecellule hépatiquehépatocytetissu conjonctiffonctionstéatosecirrhosefibrosenodule de régénérationinsuffisance hépatiquejaunissediabètecancer du foie