Images et vidéos au service de l'enseignement des sciences de la nature -  Un site imaginé et créé par Hervé CONGE

Un site destiné aux enseignants et aux élèves, pour observer, s’interroger, comprendre le fonctionnement de la nature et des êtres vivants, et tout simplement devenir curieux !

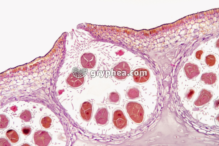
Fucus - Conceptacle femelle x25

Fucus - Conceptacle femelle x25 - gryphea.org

Les photographies, infographies, vidéos, sons et textes publiés sur ce site ne sont pas totalement libres de droits. Vous pouvez les utiliser librement à titre personnel, dans la création de vos cours, compte-rendus, diaporamas, en respectant le watermark qui y est inclus, à la condition expresse d'avoir souscrit à un abonnement. Le contrat d’utilisation ne vous autorise cependant pas à diffuser ces documents ailleurs que dans le cadre strict de votre enseignement, et en aucun cas sur les réseaux sociaux. Merci de votre compréhension.

Type : Photographie
Référence : Q 2624b
Auteur : Hervé CONGE

Pour accéder à tous les contenus de gryphea.org, aux photos haute définition et aux vidéos intégrales, profitez de nos offres d'abonnement :

Légende :

 

Les fucus sont des algues brunes (Phaeophycées) très communes sur les côtes de l'Atlantique Nord, que l'on trouve dans la zone de balancement des marées. Le fucus vésiculeux (Fucus vesiculosus) est la plus grande espèce, et présente des renflements aérifères ou pneumatocystes, qui augmentent sa flottabilité et des crampons, qui lui permettent de rester fixé aux roches. Les espèces voisines, de taille plus petite, comme le Fucus serratus ou le Fucus spiralis, ne présentent pas ce type de flotteurs.

Les fucus vésiculeux présentent des pieds mâles et des pieds femelles distincts : on parle d'espèce dioïque. Mais il existe des variétés de fucus monoïques, où les organes reproducteurs produisent les gamètes mâles (anthérozoïdes) et femelles (oosphères) dans les mêmes structures.

Chez les Fucus, des renflements reproducteurs, situés aux[...]

La suite du commentaire est réservée aux abonnés

Mots clés :
fucusalguealgues brunesphaeophycéesfucus serratusfucus vesiculosusfucus spiralisespèce dioïqueespèce monoïqueconceptaclesreproduction externeoogonesoosphèresanthérozoïdesanthéridiesmilieu marinétage médiolittoralzone intertidalezone de balancement des maréesestran