Images et vidéos au service de l'enseignement des sciences de la nature -  Un site imaginé et créé par Hervé CONGE

Un site destiné aux enseignants et aux élèves, pour observer, s’interroger, comprendre le fonctionnement de la nature et des êtres vivants, et tout simplement devenir curieux !

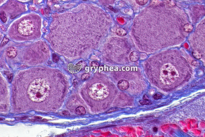
Ganglion rachidien CT x400

Ganglion rachidien CT x400 - gryphea.org

Les photographies, infographies, vidéos, sons et textes publiés sur ce site ne sont pas totalement libres de droits. Vous pouvez les utiliser librement à titre personnel, dans la création de vos cours, compte-rendus, diaporamas, en respectant le watermark qui y est inclus, à la condition expresse d'avoir souscrit à un abonnement. Le contrat d’utilisation ne vous autorise cependant pas à diffuser ces documents ailleurs que dans le cadre strict de votre enseignement, et en aucun cas sur les réseaux sociaux. Merci de votre compréhension.

Type : Photographie
Référence : K 8629
Auteur : Hervé Conge

Pour accéder à tous les contenus de gryphea.org, aux photos haute définition et aux vidéos intégrales, profitez de nos offres d'abonnement :

Légende :

 

La cellule est l’entité commune à tous les êtres vivants connus, qu’ils soient pluricellulaires (formés de plusieurs cellules, comme les animaux, les plantes et les champignons), ou unicellulaires (formés d’une seule cellule, comme les protistes, les bactéries ou les archées). De taille microscopique, dans l’immense majorité des cas, la cellule représente l’unité biologique structurelle et fonctionnelle de tous les organismes vivants. L’existence des cellules n’a été démontrée que lors de l’invention du microscope, au début du XVIIème siècle.


A la base, chaque cellule est constituée de 3 éléments fondamentaux : une très fine membrane plasmique externe, qui la délimite. Celle-ci est remplie d’un liquide aqueux de nature complexe et plus ou moins épais, le cytoplasme. Au sein du cytoplasme existe, le plus souvent, une[...]

La suite du commentaire est réservée aux abonnés

Thèmes associés : Cellules et tissusSystème nerveux
Mots clés :
cellules nerveusescellules humainescellulestissusépithéliumeucaryotecellule animalehétérotrophiecytoplasmemembrane plasmiquenoyauenveloppe nucléaireorganitescellule nucléée