Images et vidéos au service de l'enseignement des sciences de la nature -  Un site imaginé et créé par Hervé CONGE

Un site destiné aux enseignants et aux élèves, pour observer, s’interroger, comprendre le fonctionnement de la nature et des êtres vivants, et tout simplement devenir curieux !

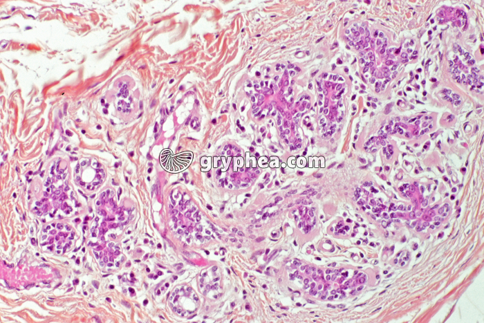
Glande mammaire humaine x70

Glande mammaire humaine x70 - gryphea.org

Les photographies, infographies, vidéos, sons et textes publiés sur ce site ne sont pas totalement libres de droits. Vous pouvez les utiliser librement à titre personnel, dans la création de vos cours, compte-rendus, diaporamas, en respectant le watermark qui y est inclus, à la condition expresse d'avoir souscrit à un abonnement. Le contrat d’utilisation ne vous autorise cependant pas à diffuser ces documents ailleurs que dans le cadre strict de votre enseignement, et en aucun cas sur les réseaux sociaux. Merci de votre compréhension.

Type : Photographie
Référence : N 2823
Auteur : Hervé Conge

Pour accéder à tous les contenus de gryphea.org, aux photos haute définition et aux vidéos intégrales, profitez de nos offres d'abonnement :

Légende :

Les glandes mammaires sont spécifiques des Mammifères, et produisent un liquide riche en nutriments qui servira à l’allaitement des jeunes : le lait. Elles entrent en lactation après la mise-bas (ou l’accouchement) chez les mammifères femelles, mais restent atrophiées chez les mâles. Elles sont formées de lobes de glandes exocrines, qui s’hypertrophient lors de la lactation sous l’influence de plusieurs hormones (prolactine, progestérone, ocytocine,...), et produisant le lait. Celui-ci est émis au niveau des mamelons après avoir circulé dans les canaux mammaires reliant les glandes à l’extérieur.

Les vaches, les brebis, le chèvres sont des mammifères d’élevage dont l’Homme exploite la lactation à des fins alimentaires et commerciales.



La suite du commentaire est réservée aux abonnés
Thèmes associés : TissusSystème reproducteur
Mots clés :
glande mammaire activesystème reproducteurglandesmammaireslaitlactationcanaux mammairesglandes exocrineshypertrophienutrimentsaccouchementmise-basmamelonsseinsmamellesocytocineprolactine