Images et vidéos au service de l'enseignement des sciences de la nature -  Un site imaginé et créé par Hervé CONGE

Un site destiné aux enseignants et aux élèves, pour observer, s’interroger, comprendre le fonctionnement de la nature et des êtres vivants, et tout simplement devenir curieux !

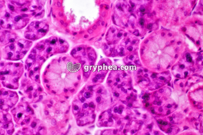
Glande salivaire x160

Glande salivaire x160 - gryphea.org

Les photographies, infographies, vidéos, sons et textes publiés sur ce site ne sont pas totalement libres de droits. Vous pouvez les utiliser librement à titre personnel, dans la création de vos cours, compte-rendus, diaporamas, en respectant le watermark qui y est inclus, à la condition expresse d'avoir souscrit à un abonnement. Le contrat d’utilisation ne vous autorise cependant pas à diffuser ces documents ailleurs que dans le cadre strict de votre enseignement, et en aucun cas sur les réseaux sociaux. Merci de votre compréhension.

Type : Photographie
Référence : XN 30286b-8
Auteur : Hervé Conge

Pour accéder à tous les contenus de gryphea.org, aux photos haute définition et aux vidéos intégrales, profitez de nos offres d'abonnement :

Légende :

Les glandes salivaires assurent la sécrétion du liquide chargé d’initier la digestion des aliments, de faciliter leur transit du pharynx vers l’estomac, et d’humidifier en permanence la cavité buccale et les muqueuses du tube digestif supérieur. La production quotidienne de salive par un adulte varie entre 0,5 et 1,2 L par jour. On distingue 3 types de glandes salivaires macroscopiques chez l’être humain : les glandes parotides, les glandes submandibulaires, les glandes sublinguales et les glandes salivaires accessoires, de taille microscopique, incorporées à la muqueuse buccale. Toutes ont un mode de sécrétion exocrine. Les glandes parotides possèdent presque exclusivement des cellules séreuses, qui sécrètent une salive fluide sans mucine. Les autres glandes salivaires ont une sécrétion mixte, avec des cellules séreuses et des cellules muqueuses, qui élaborent une une salive visqueuse, riche en mucines.



La suite du commentaire est réservée aux abonnés
Thèmes associés : Système digestif
Mots clés :
système digestifglandeglande salivairesalivesalivairefluideliquideépaissevisqueuselubrificationmuqueusetubetube digestifappareil digestifbouchebuccalbuccaleparotidesubmandibulairesublingualeaccessoireglande microscopiqueexcrétion apocrineséreuseexocrineacinusacinimucinemucuseausécrétionsécrétion mixtedigestionamylasedigestion de l’amidonamidonféculentalimentph neutre