Images et vidéos au service de l'enseignement des sciences de la nature -  Un site imaginé et créé par Hervé CONGE

Un site destiné aux enseignants et aux élèves, pour observer, s’interroger, comprendre le fonctionnement de la nature et des êtres vivants, et tout simplement devenir curieux !

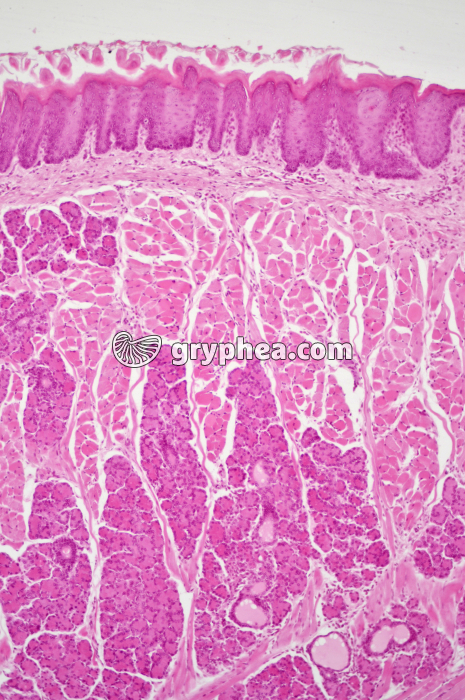
Langue papilles x40

Langue papilles x40 - gryphea.org

Les photographies, infographies, vidéos, sons et textes publiés sur ce site ne sont pas totalement libres de droits. Vous pouvez les utiliser librement à titre personnel, dans la création de vos cours, compte-rendus, diaporamas, en respectant le watermark qui y est inclus, à la condition expresse d'avoir souscrit à un abonnement. Le contrat d’utilisation ne vous autorise cependant pas à diffuser ces documents ailleurs que dans le cadre strict de votre enseignement, et en aucun cas sur les réseaux sociaux. Merci de votre compréhension.

Type : Photographie
Référence : XN 30113-45
Auteur : Hervé Conge

Pour accéder à tous les contenus de gryphea.org, aux photos haute définition et aux vidéos intégrales, profitez de nos offres d'abonnement :

Légende :

La langue est un organe aux rôles multiples chez l’Homme, organe du goût, mais aussi de la mastication et de la déglutition. Formée essentiellement de muscles et richement irriguée par de nombreux vaisseaux sanguins, elle est capable de mouvements complexes et rapides, et joue, en outre, un rôle majeur dans la phonation, au niveau de l’articulation des mots et de la formation de la voix. Sa surface présente 4 catégories de papilles gustatives, capables de reconnaître les saveurs de base : le sucré, le salé, l’amer, l’acide et l’unami (mal défini, mais qui se réfère au «savoureux»). On classe les papilles en plusieurs catégories : les papilles filiformes, foliées, caliciformes et fongiformes. Les récepteurs du goût sont concentrés en amas ovoïdes de quelques dizaines de cellules, répartis sur la langue en majorité, mais également aussi sur les gencives, le palais et les muqueuses des joues. Les odeurs perçues par les muqueuses nasales sont indispensables à la formation[...]

La suite du commentaire est réservée aux abonnés

Mots clés :
langue glande muqueuse x40système digestiflanguemasticationdéglutionphonationmusclesmusculeusepapilles gustativesgoûtodoratodeurflaveursucrésaléameracideunamifiliformefongiformefoliéecaliciformebourgeon du goûtrécepteur gustatifbourgeon gustatiforgane folié du lapincrêtesillonpore gustatifcellules sensoriellescellules ciliéescellules épithélialesépithéliocytessensationnerf sensitifnezfosses nasalesépithélium olfactifolfactionsaliveglandes salivaires