Images et vidéos au service de l'enseignement des sciences de la nature -  Un site imaginé et créé par Hervé CONGE

Un site destiné aux enseignants et aux élèves, pour observer, s’interroger, comprendre le fonctionnement de la nature et des êtres vivants, et tout simplement devenir curieux !

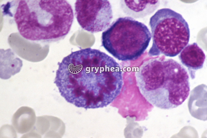
Moelle osseuse humaine cellules en mitose - métaphase x400

Moelle osseuse humaine cellules en mitose - métaphase x400 - gryphea.org

Les photographies, infographies, vidéos, sons et textes publiés sur ce site ne sont pas totalement libres de droits. Vous pouvez les utiliser librement à titre personnel, dans la création de vos cours, compte-rendus, diaporamas, en respectant le watermark qui y est inclus, à la condition expresse d'avoir souscrit à un abonnement. Le contrat d’utilisation ne vous autorise cependant pas à diffuser ces documents ailleurs que dans le cadre strict de votre enseignement, et en aucun cas sur les réseaux sociaux. Merci de votre compréhension.

Type : Photographie
Référence : K 10615
Auteur : Hervé Conge

Pour accéder à tous les contenus de gryphea.org, aux photos haute définition et aux vidéos intégrales, profitez de nos offres d'abonnement :

Légende :

 

La mitose, ou division cellulaire, est un mécanisme universel chez les organismes dont les cellules possèdent d'un noyau individualisé (organismes eucaryotes). Il permet à une cellule initiale de se reproduire à l'identique, et de donner naissance à 2 cellules jumelles, renfermant exactement les mêmes informations génétiques. Cette opération correspond à une véritable duplication de la cellule initiale (aussi qualifiée de "cellule-mère") et de l'information génétique qu'elle renferme.

Toutes les cellules d'un organisme, qu'il soit animal ou végétal, proviennent des mitoses successives qui se sont succédées depuis la première cellule initiale de l'être vivant, la cellule-oeuf. Indispensable à la vie des organismes, la mitose permet la multiplication des cellules de l'embryon et des[...]

La suite du commentaire est réservée aux abonnés

Thèmes associés : Mitoses chez les animauxMitoses
Mots clés :
cellule animalecellule animale en divisioncellule de la moelle osseusecellules embryonnairesmitosereproduction de la celluledivision de la celluledivision cellulairereproduction conformeduplicationcycle cellulairevie de la celluletransmission du patrimoine génétiquechromosomesadn2ncellule-mèrecellule diploïdediploïdiecellules-fillesduplication de l'adnchromosomes à 2 chromatidesréplication de l'adnchromosomes à 1 chromatidechromatidecentromèrenoyau cellulaireballet des chromosomesphase g1phase sphase g2phase mréplicationinterphaseprophaseprométaphasemétaphaseanaphasetélophasecytodiérèsecytokinèsefuseau mitotiquecentriolesasterhématopoïèse