Images et vidéos au service de l'enseignement des sciences de la nature -  Un site imaginé et créé par Hervé CONGE

Un site destiné aux enseignants et aux élèves, pour observer, s’interroger, comprendre le fonctionnement de la nature et des êtres vivants, et tout simplement devenir curieux !

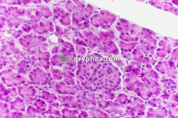
Pancréas avec ilot de Langerhans (Cobaye) x100

Pancréas avec ilot de Langerhans (Cobaye) x100 - gryphea.org

Les photographies, infographies, vidéos, sons et textes publiés sur ce site ne sont pas totalement libres de droits. Vous pouvez les utiliser librement à titre personnel, dans la création de vos cours, compte-rendus, diaporamas, en respectant le watermark qui y est inclus, à la condition expresse d'avoir souscrit à un abonnement. Le contrat d’utilisation ne vous autorise cependant pas à diffuser ces documents ailleurs que dans le cadre strict de votre enseignement, et en aucun cas sur les réseaux sociaux. Merci de votre compréhension.

Type : Photographie
Référence : BN 52421b
Auteur : Hervé Conge

Pour accéder à tous les contenus de gryphea.org, aux photos haute définition et aux vidéos intégrales, profitez de nos offres d'abonnement :

Légende :

 

Le pancréas est un organe aplati, ayant globalement la forme d'une poire, situé en arrière de l'estomac. Il est une composante importante de l'appareil digestif et de la fonction de digestion. Il fait également partie du système endocrinien, c'est-à-dire des organes qui libèrent des substances chimiques à effet ciblé directement dans la circulation sanguine (hormones), sans utiliser de canaux sécréteurs. 

Cet organe renferme deux types de tissus glandulaires, l’un exocrine, l’autre endocrine

- les acini produisent plusieurs enzymes digestives, qui sont libérées dans la partie antérieure de l’intestin grêle, le duodénum.
- les îlots de Langerhans produisent plusieurs hormones, qui sont libérées directement dans la circulation générale, au niveau des capillaires sanguins

[...]

La suite du commentaire est réservée aux abonnés
Mots clés :
système endocrinienpancréaspancréatiquepancréas exocrinedigestionappareil digestifsystème digestifsystème hormonalacinusbicarbonateenzymestrypsinechymotrypsinecarboxypeptidaselipaseprotéaseamylasehydrolaseribonucléaseeaupancréas endocrineexocrineendocrinesuc pancréatiquehormonesinsulineglucagonsomatostatinepolypeptide pancréatiqueilôt de langerhanscellules alphacellules bétairrigation sanguineglycémieglucoseglycogénolyseglycogénogenèsediabète