Images et vidéos au service de l'enseignement des sciences de la nature -  Un site imaginé et créé par Hervé CONGE

Un site destiné aux enseignants et aux élèves, pour observer, s’interroger, comprendre le fonctionnement de la nature et des êtres vivants, et tout simplement devenir curieux !

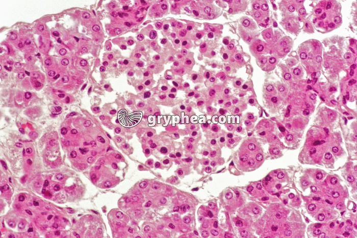
Pancréas diabétique x100

Pancréas diabétique x100 - gryphea.org

Les photographies, infographies, vidéos, sons et textes publiés sur ce site ne sont pas totalement libres de droits. Vous pouvez les utiliser librement à titre personnel, dans la création de vos cours, compte-rendus, diaporamas, en respectant le watermark qui y est inclus, à la condition expresse d'avoir souscrit à un abonnement. Le contrat d’utilisation ne vous autorise cependant pas à diffuser ces documents ailleurs que dans le cadre strict de votre enseignement, et en aucun cas sur les réseaux sociaux. Merci de votre compréhension.

Type : Photographie
Référence : O 3907b
Auteur : Hervé Conge

Pour accéder à tous les contenus de gryphea.org, aux photos haute définition et aux vidéos intégrales, profitez de nos offres d'abonnement :

Légende :

Organe annexe du tube digestif, aux fonctions mixtes : exocrine et endocrine. Son rôle est de produire le suc pancréatique, suc digestif indispensable à la simplification moléculaire des macromolécules alimentaires, mais aussi de synthétiser des hormones variées, comme l’insuline, le glucagon, la somatostatine et le polypeptide pancréatique. - Le pancréas exocrine, à vocation digestive, fabrique un liquide riche en ions bicarbonates et en enzymes (de type amylases, lipases, ribonucléases et désoxyribonucléases), qui est déversé dans le duodénum, partie antérieur de l’intestin grêle. Ces différentes substances sont synthétisées par les cellules acineuses du pancréas sous la forme de pro-enzymes inactives, qui acquièrent leur activité lors de leur arrivée dans le duodénum., - Le pancréas endocrine synthétise des molécules agissant, de façon ciblées, sur certaines catégories cellulaires de l’organisme, en ayant préalablement[...]

La suite du commentaire est réservée aux abonnés

Thèmes associés : Système digestif
Mots clés :
pancréaspancréatiquepancréas exocrinedigestiondigestifchymeacinusamphotèretamponbicarbonateenzymestrypsinechymotrypsinecarboxypeptidaselipaseprotéaseamylasehydrolaseribonucléaseeaupancréas endocrineexocrineendocrinesuc pancréatiquehormonesinsulineglucagonsomatostatinepolypeptide pancréatiqueilôt de langerhanscellules bétacellules alphairrigation sanguineglycémieglucoseglycogénolyseglycogénogenèsediabète