Images et vidéos au service de l'enseignement des sciences de la nature -  Un site imaginé et créé par Hervé CONGE

Un site destiné aux enseignants et aux élèves, pour observer, s’interroger, comprendre le fonctionnement de la nature et des êtres vivants, et tout simplement devenir curieux !

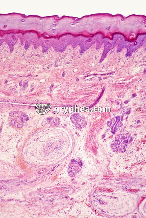
Peau CT Pacini x10

Peau CT Pacini x10 - gryphea.org

Les photographies, infographies, vidéos, sons et textes publiés sur ce site ne sont pas totalement libres de droits. Vous pouvez les utiliser librement à titre personnel, dans la création de vos cours, compte-rendus, diaporamas, en respectant le watermark qui y est inclus, à la condition expresse d'avoir souscrit à un abonnement. Le contrat d’utilisation ne vous autorise cependant pas à diffuser ces documents ailleurs que dans le cadre strict de votre enseignement, et en aucun cas sur les réseaux sociaux. Merci de votre compréhension.

Type : Photographie
Référence : A 7133b
Auteur : Hervé Conge

Pour accéder à tous les contenus de gryphea.org, aux photos haute définition et aux vidéos intégrales, profitez de nos offres d'abonnement :

Légende :

C’est l’organe le plus volumineux chez l’être humain, siège du sens du toucher. Elle le recouvre totalement et constitue une interface fondamentale entre l’organisme et le monde extérieur. Souple, résistante et imperméable, elle est composée de 3 couches superposées : l’épiderme, le derme et l’hypoderme. Ses rôles sont multiples : sensibilité, barrière protectrice (vis-à-vis de l’eau, des micro-organismes, des chocs, des rayonnements UV,...), régulation thermique (notamment le refroidissement de celui-ci grâce à la sudation), immunité, synthèse d’hormones et de vitamine D. Elle dispose aussi d’une très grande capacité d’autorégénération, notamment à la suite des blessures ou brûlures dont elle peut être affectée (cicatrisation).



La suite du commentaire est réservée aux abonnés
Thèmes associés : Système sensoriel
Mots clés :
peau injectéeimperméablevaisseaux sanguinspeausenstoucherorgane du touchersouplesseimperméabilitérésistanceépidermedermehypodermeprotectionbarrièreinterfaceélasticitéélastiquerégulation thermiquedissipation de la chaleurtranspirationsudationpigmentationvitamine dblessurecoupurebrûlurerégénérationcicatrisationcicatricepeau blanchepeau noirepeau pigmentéepoilbulbefollicule pileuxglande sébacéeglande sudoriparecorpuscule du touchercorpuscule de pacinicorpuscule de meissnercancer de la peaumélanomecarcinomemélanocytekératinocytecellule de langerhans