Images et vidéos au service de l'enseignement des sciences de la nature -  Un site imaginé et créé par Hervé CONGE

Un site destiné aux enseignants et aux élèves, pour observer, s’interroger, comprendre le fonctionnement de la nature et des êtres vivants, et tout simplement devenir curieux !

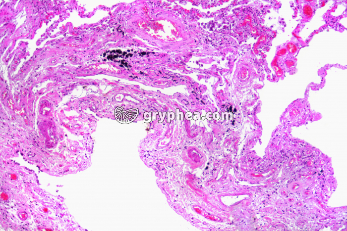
Poumon fumeur x25

Poumon fumeur x25 - gryphea.org

Les photographies, infographies, vidéos, sons et textes publiés sur ce site ne sont pas totalement libres de droits. Vous pouvez les utiliser librement à titre personnel, dans la création de vos cours, compte-rendus, diaporamas, en respectant le watermark qui y est inclus, à la condition expresse d'avoir souscrit à un abonnement. Le contrat d’utilisation ne vous autorise cependant pas à diffuser ces documents ailleurs que dans le cadre strict de votre enseignement, et en aucun cas sur les réseaux sociaux. Merci de votre compréhension.

Type : Photographie
Référence : BN 40504b
Auteur : Hervé Conge

Pour accéder à tous les contenus de gryphea.org, aux photos haute définition et aux vidéos intégrales, profitez de nos offres d'abonnement :

Légende :

Les poumons sont des organes permettant, en milieu aérien, les échanges de gaz respiratoires (dioxygène et dioxyde de carbone) entre l’organisme et le milieu ambiant. Ils sont dotés d’une grande quantité de petits sacs pulmonaires minuscules, constitués d’alvéoles aux parois extrêmement minces, qui facilitent les échanges de gaz entre l’air alvéolaire et le sang des capillaires qui tapissent les alvéoles. Au microscope, les poumons se caractérisent par une structure lacunaire, l’essentiel du tissu pulmonaire étant occupé par des cavités optiquement vides, les alvéoles. Il est possible, sur les coupes à plus faible grossissement, d’identifier des bronchioles en coupe, ainsi que des vaisseaux sanguins (artérioles et veinules).

Les pathologies des poumons sont très diverses et complexes. Elles peuvent être dues au tabagisme, à une maladie microbienne ou génétique, au séjour prolongé dans des milieux où les aérosols, solides ou gazeux, sont abondants,[...]

La suite du commentaire est réservée aux abonnés

Mots clés :
poumon de fumeursystème respiratoirepoumonpulmonaireorganeéchanges de gazrespirationoxygènedioxygèneo2gaz carboniquedioxyde de carboneco2milieu aériensacs pulmonairessacs alvéolairesalvéolessangcapillaires pulmonairescavitésairgazrespiratoireirrigation sanguinestructure alvéolaireabsorption du dioxygènerejet du dioxyde de carboneventilation pulmonaireinspirationexpirationcancer du poumonfusion alvéolairefibrose pulmonaireemphysèmetissu invasifcarcinomeadénocarcinomediminution de la fonction respiratoirecapacité respiratoire diminuée