Images et vidéos au service de l'enseignement des sciences de la nature -  Un site imaginé et créé par Hervé CONGE

Un site destiné aux enseignants et aux élèves, pour observer, s’interroger, comprendre le fonctionnement de la nature et des êtres vivants, et tout simplement devenir curieux !

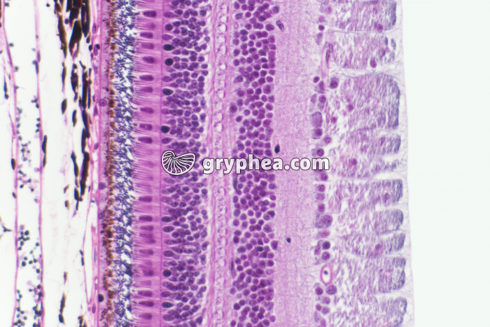
Rétine x100

Rétine x100 - gryphea.org

Les photographies, infographies, vidéos, sons et textes publiés sur ce site ne sont pas totalement libres de droits. Vous pouvez les utiliser librement à titre personnel, dans la création de vos cours, compte-rendus, diaporamas, en respectant le watermark qui y est inclus, à la condition expresse d'avoir souscrit à un abonnement. Le contrat d’utilisation ne vous autorise cependant pas à diffuser ces documents ailleurs que dans le cadre strict de votre enseignement, et en aucun cas sur les réseaux sociaux. Merci de votre compréhension.

Type : Photographie
Référence : EN 60782
Auteur : Hervé Conge

Pour accéder à tous les contenus de gryphea.org, aux photos haute définition et aux vidéos intégrales, profitez de nos offres d'abonnement :

Légende :

Membrane photosensible de l’oeil, comportant un grand nombre de cellules nerveuses spécialisées dans la captation des photons, et donc de la lumière, mais aussi d’autres types de neurones connectés aux photorécepteurs. Elle tapisse presque entièrement la face intérieure du globe oculaire, à l’exception de la face antérieure de celui-ci, où se trouvent la pupille et l’iris. Les photorécepteurs de la rétine appartiennent à plusieurs catégories : les bâtonnets, chargés de la vision nocturne et crépusculaire, et qui ne distinguent pas les couleurs, et les cônes, sensibles à diverses radiations (rouge, vert et bleu), qui permettent de discriminer les couleurs. Ces cellules hautement spécialisées transforment les radiations lumineuses électromagnétiques en message nerveux intelligibles pour le cerveau. Les autres neurones (bipolaires et multipolaires) mettent en relation l’ensemble des photorécepteurs avec certaines zones du cerveau, par le biais des fibres nerveuses qu’ils[...]

La suite du commentaire est réservée aux abonnés

Thèmes associés : Système sensoriel
Mots clés :
rétinerétinienmembranephotosensiblephotorécepteurintérieur de l’oeilcellules photoréceptricesbâtonnetscônescellules à bâtonnetscellules à cônesvision nocturnevision en noir et blancvision crépusculairevision des couleursradiations lumineusescouleurslumièrerétine centralerétine périphériquefoveapoint aveugletache aveuglepapillenerf optiqueneurones bipolairesneurones multipolairesmessage nerveuxsensitifcapteur sensorielstimulivisuel