Images et vidéos au service de l'enseignement des sciences de la nature -  Un site imaginé et créé par Hervé CONGE

Un site destiné aux enseignants et aux élèves, pour observer, s’interroger, comprendre le fonctionnement de la nature et des êtres vivants, et tout simplement devenir curieux !

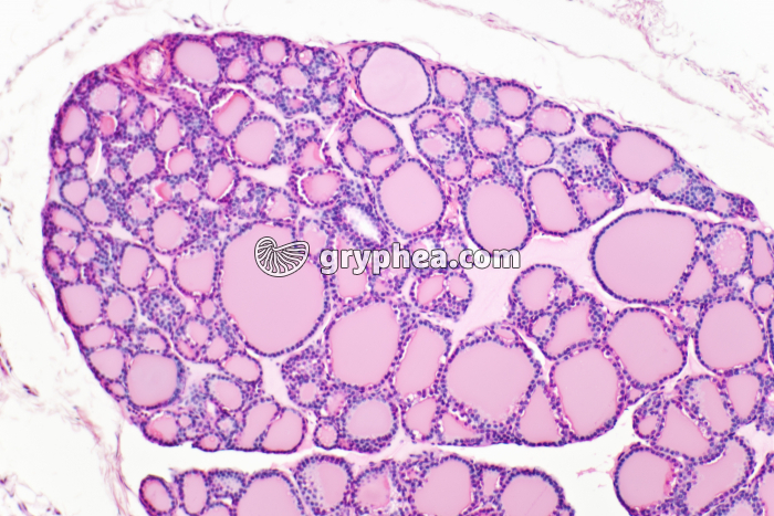
Thyroïde x25

Thyroïde x25 - gryphea.org

Les photographies, infographies, vidéos, sons et textes publiés sur ce site ne sont pas totalement libres de droits. Vous pouvez les utiliser librement à titre personnel, dans la création de vos cours, compte-rendus, diaporamas, en respectant le watermark qui y est inclus, à la condition expresse d'avoir souscrit à un abonnement. Le contrat d’utilisation ne vous autorise cependant pas à diffuser ces documents ailleurs que dans le cadre strict de votre enseignement, et en aucun cas sur les réseaux sociaux. Merci de votre compréhension.

Type : Photographie
Référence : EN 60686
Auteur : Hervé Conge

Pour accéder à tous les contenus de gryphea.org, aux photos haute définition et aux vidéos intégrales, profitez de nos offres d'abonnement :

Légende :

La glande thyroïde est responsable de la régulation du métabolisme énergétique, par l’intermédiaire de l’hormone thyroïdienne T4 ou thyroxine, et de celle de l’homéostasie du calcium grâce à la calcitonine.  Cette glande, située à l’avant de la trachée et dans sa partie antérieure, est formée de 2 lobes reliés par un isthme. Sur le plan histologique, chaque lobe est formé de structures globalement sphériques, délimitées par un épithélium unistratifié, qui entoure une cavité remplie de liquide colloïdien, riche en thyroglobuline, précurseur de l’hormone thyroxine (ou T4). La dimension des vésicules est fonction des phases de stockage ou de libération de l’hormone thyroïdienne. La synthèse et la dégradation de la thyroglobuline sont dépendantes de l’hypothalamus et de l’hypophyse (TSH).

D’autres cellules, souvent intersticielles et appelées «cellules C», synthétisent[...]

La suite du commentaire est réservée aux abonnés

Thèmes associés : TissusSystème endocrinien
Mots clés :
système endocrinienthyroïdienhormonethyroxinet4t3calcitoninefolliculevésiculethyroïdiennethyréocytesthyroglobulineiodecellule cmétabolisme du calciumtshtrhhypothyroïdiehyperthyroïdiegoitreoedèmemyxoedèmemaladie de basedowtyrosineendocrineminéralisation des osantagoniste