Images et vidéos au service de l'enseignement des sciences de la nature -  Un site imaginé et créé par Hervé CONGE

Un site destiné aux enseignants et aux élèves, pour observer, s’interroger, comprendre le fonctionnement de la nature et des êtres vivants, et tout simplement devenir curieux !

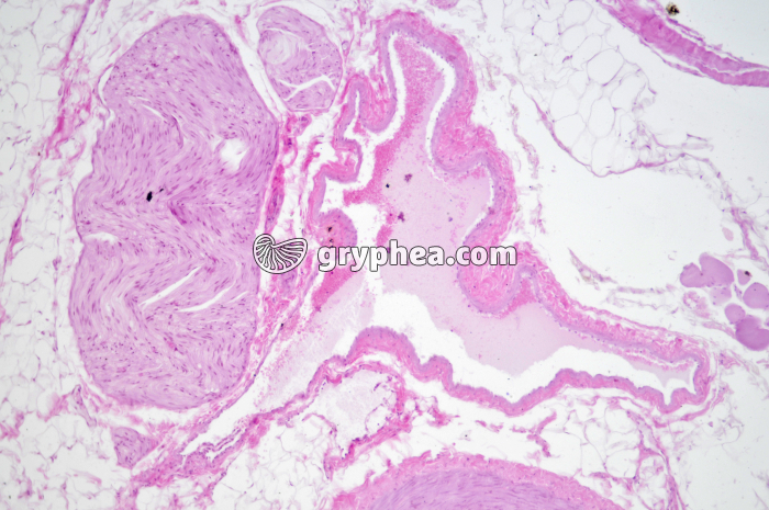
Veine CT x25

Veine CT x25 - gryphea.org

Les photographies, infographies, vidéos, sons et textes publiés sur ce site ne sont pas totalement libres de droits. Vous pouvez les utiliser librement à titre personnel, dans la création de vos cours, compte-rendus, diaporamas, en respectant le watermark qui y est inclus, à la condition expresse d'avoir souscrit à un abonnement. Le contrat d’utilisation ne vous autorise cependant pas à diffuser ces documents ailleurs que dans le cadre strict de votre enseignement, et en aucun cas sur les réseaux sociaux. Merci de votre compréhension.

Type : Photographie
Référence : XN 30183
Auteur : Hervé Conge

Pour accéder à tous les contenus de gryphea.org, aux photos haute définition et aux vidéos intégrales, profitez de nos offres d'abonnement :

Légende :

Les veines et les veinules sont des vaisseaux sanguins ramenant le sang des organes vers le coeur. Les veines servent aussi de réservoir de sang. Elles se distinguent des artères par la présence de valvules empêchant le reflux du sang, et d’une paroi plus mince que celle des artères de diamètre équivalent, formée d’un endothélium interne, d’une média dont les fibres musculaires lisses ont une orientation circulaire mais irrégulière. L’adventice et la média se distinguent assez difficilement l’une de l’autre, et il n’y a pas de limitante élastique interne.



La suite du commentaire est réservée aux abonnés
Thèmes associés : Sang et système circulatoire
Mots clés :
sang et système circulatoireveineveinuleparoi non élastiquevalvulesendothéliumcollagènefibroblastesintimamédiaadventicedrainage du sangréservoirécoulementsang veineuxsang peu oxygénéveine caveveine pulmonaireveine porte