Images et vidéos au service de l'enseignement des sciences de la nature -  Un site imaginé et créé par Hervé CONGE

Un site destiné aux enseignants et aux élèves, pour observer, s’interroger, comprendre le fonctionnement de la nature et des êtres vivants, et tout simplement devenir curieux !

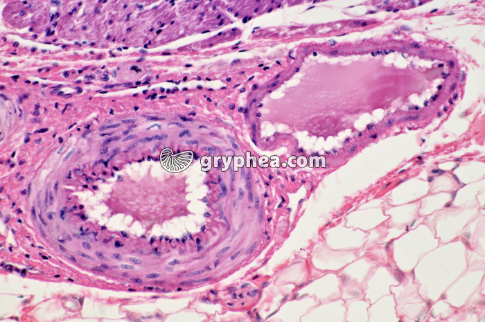
Veinule et artériole estomac Lapin x100

Veinule et artériole estomac Lapin x100 - gryphea.org

Les photographies, infographies, vidéos, sons et textes publiés sur ce site ne sont pas totalement libres de droits. Vous pouvez les utiliser librement à titre personnel, dans la création de vos cours, compte-rendus, diaporamas, en respectant le watermark qui y est inclus, à la condition expresse d'avoir souscrit à un abonnement. Le contrat d’utilisation ne vous autorise cependant pas à diffuser ces documents ailleurs que dans le cadre strict de votre enseignement, et en aucun cas sur les réseaux sociaux. Merci de votre compréhension.

Type : Photographie
Référence : XN 30086
Auteur : Hervé Conge

Pour accéder à tous les contenus de gryphea.org, aux photos haute définition et aux vidéos intégrales, profitez de nos offres d'abonnement :

Légende :

Les artères et artérioles sont des vaisseaux sanguins conduisant le sang du coeur vers les organes ou tissus de l’organisme. Les artères ont un diamètre plus important que celui des artérioles. Toutes deux présentent une paroi plus ou moins épaisse, formé de 3 tuniques concentriques, comportant, du centre vers la périphérie, un endothélium (intima), des cellules musculaires lisses associées à des fibres de collagène et d’élastine (média), et une adventice périphérique principalement constituée de tissu conjonctif. Les artérioles (0,13 à 0,02 mm de diamètre) constituent des vaisseaux de résistance et régulent la distribution du sang dans les réseaux capillaires par vasodilatation ou vasoconstriction.

Les veines et les veinules sont des vaisseaux sanguins ramenant le sang des organes vers le coeur. Les veines servent aussi de réservoir de sang. Elles se distinguent des artères par la présence de valvules empêchant le reflux du sang, et d’une paroi plus[...]

La suite du commentaire est réservée aux abonnés

Thèmes associés : Sang et système circulatoire
Mots clés :
artèreartérioleaorteparoi élastiqueparoi musculaireélastinetissu conjonctifcellules musculaires lissesdistribution du sangconduction du sangrésistance à l’écoulementécoulement saccadéécoulement continuvasoconstrictionvasodilatationsang oxygénésangveineveinuleparoi non élastiquevalvulesendothéliumcollagènefibroblastesintimamédiaadventicedrainage du sangréservoirécoulementsang veineuxsang peu oxygéné