Images et vidéos au service de l'enseignement des sciences de la nature -  Un site imaginé et créé par Hervé CONGE

Un site destiné aux enseignants et aux élèves, pour observer, s’interroger, comprendre le fonctionnement de la nature et des êtres vivants, et tout simplement devenir curieux !

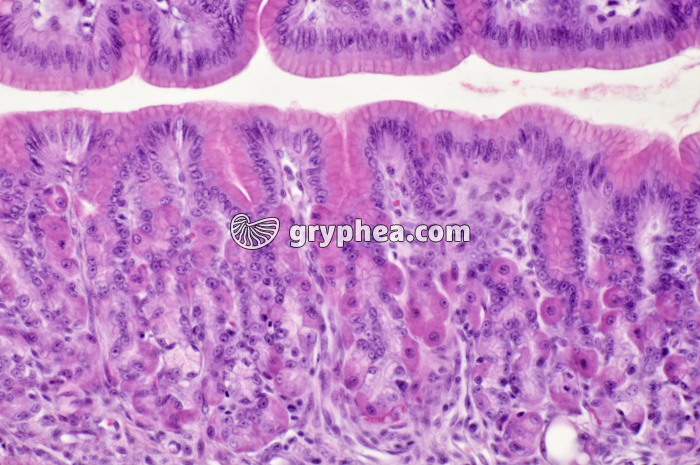
Estomac pylorique x100

Estomac pylorique x100 - gryphea.org

Les photographies, infographies, vidéos, sons et textes publiés sur ce site ne sont pas totalement libres de droits. Vous pouvez les utiliser librement à titre personnel, dans la création de vos cours, compte-rendus, diaporamas, en respectant le watermark qui y est inclus, à la condition expresse d'avoir souscrit à un abonnement. Le contrat d’utilisation ne vous autorise cependant pas à diffuser ces documents ailleurs que dans le cadre strict de votre enseignement, et en aucun cas sur les réseaux sociaux. Merci de votre compréhension.

Type : Photographie
Référence : XN 30531-75
Auteur : Hervé Conge

Pour accéder à tous les contenus de gryphea.org, aux photos haute définition et aux vidéos intégrales, profitez de nos offres d'abonnement :

Légende :

Organe digestif en forme de poche, chargé de recevoir et stocker les aliments déglutis qui ont transité par l’oesophage après leur ingestion, d’assurer la digestion de certains d’entre eux, et de permettre leur cheminement vers le duodénum, partie antérieure de l’intestin grêle. L’estomac produit un liquide acide, le suc gastrique, constitué d’eau, d’acide chlorhydrique et d’enzymes digestives, dont l’activité est dépendante du pH acide. Les contractions de la paroi musculaire de l’estomac facilitent la digestion enzymatique des aliments grâce au brassage qu’elles engendrent, qui assure un mélange régulier du contenu stomacal avec le suc gastrique. Le pylore, sphincter situé à la sortie de l’estomac et au début de l’intestin grêle, assure, par son ouverture irrégulière, le passage du chyme stomacal vers le suite du tube digestif. La paroi stomacale comporte, de l’intérieur vers l’extérieur, plusieurs couches : - une muqueuse interne, renfermant[...]

La suite du commentaire est réservée aux abonnés

Thèmes associés : Système digestif
Mots clés :
estomacstomacaldigestiondigestion enzymatiqueph acidepepsinepepsinogèneprotéinesenzymeeaumucusacide chlorhydriqueacideparoi musculaireparoimusclebrassagesuc gastriquepyloresphincterchymeliquidemuqueusecellules pariétalescellules principalescellules à mucusmembrane séreusepéritoinecontractionstockage